6 Risks of Home Teeth Shaving: Why You Shouldn’t Do It Yourself Gustavo Assatourians / February 23, 2023
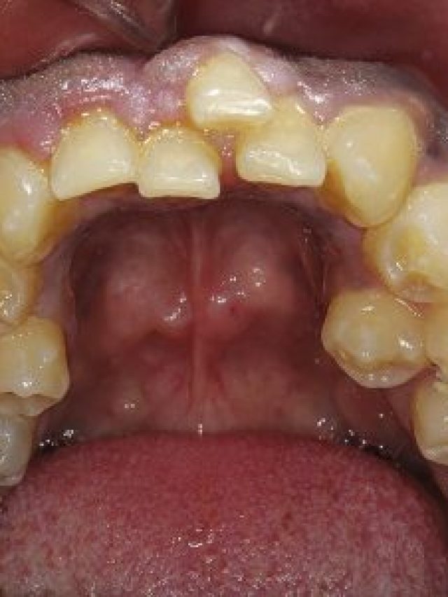
Diastema Explained: 3 Important Factors Contributing to Gaps Gustavo Assatourians / February 15, 2023