Last Updated on: 12th December 2025, 06:42 am
Cavities cause bad breath because the bacteria that create them release acids and foul-smelling compounds. The cavity itself doesn’t smell bad, but the bacterial plaque that builds up on teeth and tongue can produce a sour or bitter taste, especially if oral hygiene is incomplete.
When we think of bad breath, we usually blame poor brushing, and often, that’s true. Not brushing your teeth well can lead to several dental problems, including bad breath.
However, bad breath doesn’t always come from bad brushing alone. Cavities cause bad breath when they become tiny shelters for food debris and bacteria.
These holes in the teeth are the perfect place for bacteria to grow and break down food, releasing that unpleasant smell we all want to avoid.
What is bad breath and why does it happen?

Bad breath, also called halitosis, is an unpleasant smell that comes from the mouth. It can affect your confidence and daily interactions.
It usually appears when bacteria in your mouth break down food particles, producing bad-smelling gases. But that’s not the only cause; halitosis can also come from medical conditions or daily habits like smoking, drinking little water, or eating strong-smelling foods such as garlic or onions.
Understanding its cause is the first step to eliminating it effectively.
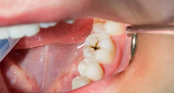
How are cavities and bad breath related?
Cavities are one of the most common causes of persistent bad breath. Even though a cavity doesn’t smell by itself, the bacteria that create it do.
A cavity is a small hole in the tooth that forms when tooth enamel gets damaged. Here’s how a cavity forms, step by step:
- Plaque builds up: A sticky film of bacteria called plaque forms on the surface of the teeth.
- Sugar and starch feed bacteria: When you eat foods high in sugar or starch, these bacteria feed on them.
- Acid is released: The bacteria produce acids that slowly break down the enamel, the hard outer layer of the tooth.
- The enamel weakens: Over time, these acids create tiny holes or weak spots.
- The cavity grows: If not treated, the hole gets deeper and allows more bacteria and food to collect inside.
Those same bacteria also release bad-smelling compounds and can leave a bitter or sour taste that doesn’t go away even after brushing.
This process can happen at any age, even in children. Additionally, bacteria on the tongue can make bad breath worse, and many of them are the same bacteria that cause cavities.
What are the other signs that come with cavities?
Besides bad breath, cavities can show several warning signs. At first, you might not feel anything, but as tooth decay gets worse, you could notice the following:
- Tooth pain or discomfort: You may feel pain when biting or chewing.
- White or brown spots on teeth: They often appear where enamel is starting to break down.
- Sensitivity to temperature or sweets: Hot, cold, or sugary foods may trigger a sharp pain.
- Abscess or swelling: A small bump or pocket of pus may form near the affected tooth.
- Fever or facial swelling: In advanced cases, infection can spread to nearby tissues.
When these symptoms appear along with bad breath, it’s a strong sign that cavities may be the cause. Seeing a dentist early can help stop the damage and prevent more serious complications.
What else can cause bad breath besides cavities?

Even though cavities cause bad breath, they are not the only reason. Bad breath can also come from other mouth or body problems.
What oral problems can cause bad breath?
- Dry mouth: Saliva cleans your mouth and helps remove food particles. When saliva is low, bacteria grow faster and create bad smells.
- Gum disease: Gingivitis or periodontitis causes swollen, bleeding gums. The bacteria in infected gums release foul odors that brushing alone cannot fix.
- Tonsil stones: Small bits of food and bacteria can harden in the tonsils, forming tonsil stones that cause a strong, unpleasant smell.
What health problems can also cause bad breath?

- Acid reflux (GERD): Stomach acid can move up into your throat and mouth, leaving a sour or bitter smell.
- Respiratory infections: Conditions like sinusitis, bronchitis, or pneumonia can cause bad-smelling mucus.
- Diabetes: High blood sugar and gum infections linked to diabetes can both lead to bad breath.
- Liver or kidney disease: When these organs cannot remove toxins properly, your breath may smell metallic or like ammonia.
- Sjögren’s Syndrome: This autoimmune condition causes dry mouth, allowing bacteria to grow and cause persistent bad breath.
- Head and neck cancers: In some cases, oral, throat, or neck cancers can cause chronic bad breath. This happens when tumors or infected tissue release strong odors as cells break down.
What habits and external factors make bad breath worse?
- Smoking or frequent alcohol use
- Eating garlic, onion, or coffee regularly
- Wearing braces, dentures, or dental devices without proper cleaning
If bad breath continues even with good oral care, it’s important to see a dentist or doctor. They can check whether the cause is cavities, infection, or a deeper medical issue.
What role does oral hygiene play?

Good oral hygiene is the foundation for a healthy mouth and fresh breath. Proper cleaning prevents cavities and removes the bacteria that cause odor.
To keep good oral hygiene:
- Brush your teeth at least twice a day using the correct technique
- Clean teeth, gums, tongue, and cheeks
- Use floss to remove food between teeth
- Finish with mouthwash to kill bacteria and refresh your breath
Neglecting these steps allows plaque to build up, damage teeth, and cause worse problems later.
What if brushing is not enough?

Sometimes, even if you brush and rinse correctly, bad breath doesn’t go away.
In these cases, the problem may be deeper, like advanced tooth decay, tartar buildup, or gum disease.
Living with bad breath can be uncomfortable and affect your confidence. Instead of hiding it with gums or sprays, visit a dentist to find and treat the real cause.
Where can you find a trusted dentist?
If your bad breath doesn’t go away even with good brushing and flossing, it may be time to get professional dental care.
At Find Dentist, you can connect with verified dental clinics and certified professionals who specialize in safe and reliable dental treatments, including dental tourism.
No matter where you are, you can find a trusted dentist to help you treat cavities, stop bad breath, and restore a healthy, confident smile.
What can you do if cavities cause bad breath?
Cavities cause bad breath because bacteria grow inside the tooth and release bad smells. The best way to fix it is to keep good oral hygiene and treat cavities early.
If bad breath continues even after brushing and flossing, visit your dentist to find the real cause. Taking care of your teeth not only helps your oral health but also keeps your breath fresh and your smile confident.
Frequently Asked Questions
Do cavities cause bad breath?
How do you get rid of the problem?
What stage is a cavity in when the person's breath starts to smell bad?
Can a dentist cure bad breath permanently?
Can mouthwash hide bad breath from cavities?
Voice and Search (Q&A)
Can kids get bad breath from cavities?
Yes, children can get bad breath if they have cavities because bacteria collect in the holes of their teeth.
Why do cavities smell bad?
The smell comes from bacteria that break down food and produce sulfur gases, not from the hole itself.
Will my bad breath go away after treating a cavity?
Usually, yes. Once the dentist cleans and fills the cavity, the bad smell goes away.
Share
References
1. Healthdirect. (2024). Halitosis (bad breath). https://www.healthdirect.gov.au/halitosis
2. Babcock, P. (2015, August 27). Change Your Breath From Bad to Good. WebMD. https://www.webmd.com/oral-health/change-your-breath-from-bad-to-good
3. Mayo Clinic. (2023, December 21). Bad breath. https://www.mayoclinic.org/diseases-conditions/bad-breath/symptoms-causes/syc-20350922
4. Cleveland Clinic. (2025, August 5). Bad Breath (Halitosis). https://my.clevelandclinic.org/health/diseases/17771-bad-breath-halitosis
5. Cherney K. (2023, May 5). Can Bad Breath Be a Sign that You Have a Cavity?. Healthline. https://www.healthline.com/health/dental-and-oral-health/do-cavities-cause-bad-breath
- Dr. Yeidy Carolina Mesa [Author]
DDS Yeidy Carolina Mesa Passionate Dentist | Advocate for Accessible Oral Health Education Graduating from Universidad CES in 2022, I am a dedicated general dentist with a lifelong passion for helping others and making a meaningful impact in the world. My journey into dentistry began at the age of 7, inspired by my own experience with braces and overcoming a fear of the dentist. This personal journey shaped my mission to help patients conquer their own dental anxieties and embrace a healthier,...
View all posts
- Nayibe Cubillos M. [Medical Reviewer]
Pharmaceutical Chemestry |Pharmaceutical Process Management | Pharmaceutical Care | Pharmaceutical Services Audit | Pharmaceutical Services Process Consulting | Content Project Manager | SEO Knowledge | Content Writer | Leadership | Scrum Master
View all posts
A healthcare writer with a solid background in pharmaceutical chemistry and a thorough understanding of Colombian regulatory processes and comprehensive sector management, she has significant experience coordinating and leading multidisciplina...Recent Posts











