7 Important Risks of Apicoectomy Contraindications Explained Gustavo Assatourians / December 26, 2023
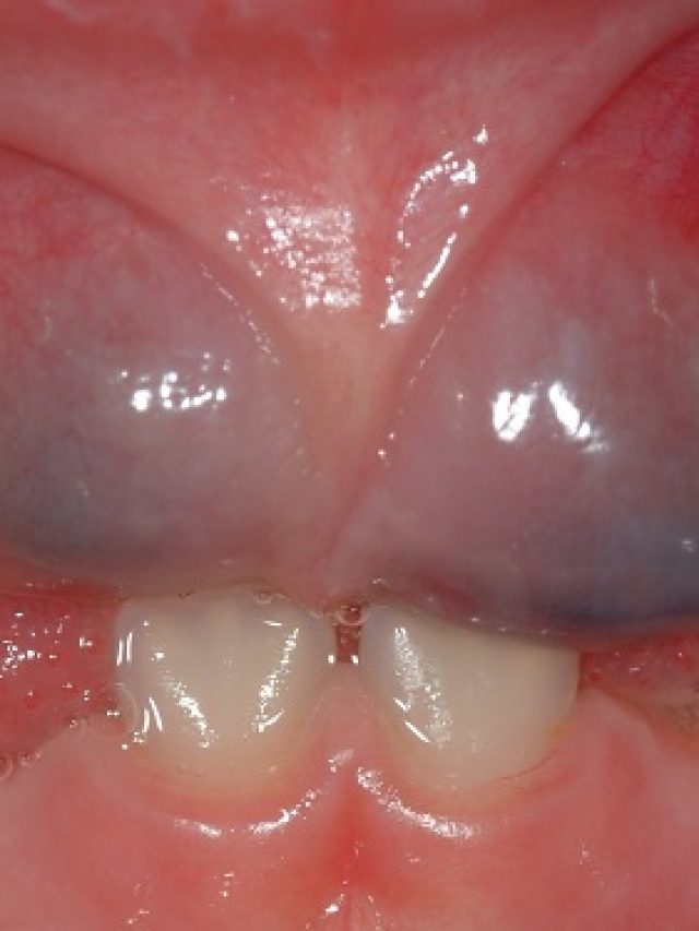
3 Methods to Timely Detect Melanoma in the Mouth: Essential Steps Gustavo Assatourians / December 26, 2023
7 Essential Steps on How to Get Ready for Surgery on Dental Implants Gustavo Assatourians / December 4, 2023