Last Updated on: 30th diciembre 2025, 07:27 am
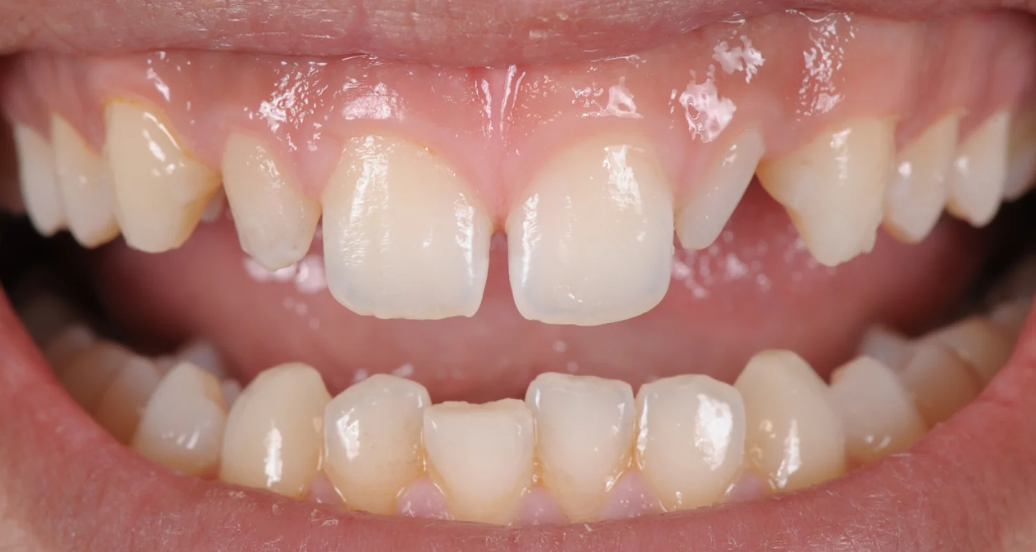
Imagina una sonrisa perfectamente alineada, donde todos los dientes tienen una forma y tamaño similares, como piezas de un rompecabezas que encajan perfectamente. Ahora visualiza una pieza diferente, más pequeña y puntiaguda, que rompe esa armonía. Esto es lo que ocurre con los dientes en clavija, una condición dental que, aunque poco común, puede alterar significativamente la estética y funcionalidad de la sonrisa.
Este fenómeno afecta aproximadamente al 2-5% de la población y se asocia con variaciones en el tamaño y la forma de algunos dientes, principalmente los incisivos laterales superiores. Pero, ¿qué son exactamente los dientes en clavija y cómo impactan en la salud oral y la estética? A continuación, responderemos esta pregunta y exploraremos sus causas, consecuencias y posibles soluciones.
¿Qué son los dientes en clavija?

Los dientes en clavija, también conocidos como dientes conoides, son una anormalidad dental caracterizada por dientes de menor tamaño y forma cónica o puntiaguda. Esta condición suele presentarse más comúnmente en los incisivos laterales superiores, los dientes ubicados a ambos lados de los dos dientes frontales principales.
La apariencia de estos dientes rompe la simetría natural de la sonrisa, lo que puede ser una preocupación estética para muchas personas, pero no representan un problema médico grave.
Esta alteración ocurre debido a una interrupción o anomalía durante el proceso de formación dental. Si bien sus implicaciones pueden variar de persona a persona, es común que quienes tienen dientes en clavija busquen soluciones para mejorar tanto su apariencia como la funcionalidad de su mordida.
¿Cuál es la causa de los dientes en clavija?
Los dientes en clavija pueden aparecer por diferentes razones, y es importante entenderlas para conocer mejor esta condición. A continuación, te explicamos de manera sencilla las principales causas:
1. Genética
La causa más común de los dientes en clavija es la genética. Si en tu familia hay antecedentes de dientes con forma cónica, es probable que esta característica se transmita de generación en generación. Es como heredar el color de los ojos o la forma de la nariz; los genes juegan un papel importante en cómo se forman los dientes.
2. Anomalías del desarrollo dental
Durante el proceso de formación de los dientes, pueden ocurrir alteraciones que afectan su tamaño y forma. Estas anomalías pueden incluir problemas en la diferenciación de las células que forman el diente o en la correcta formación de tejidos como el esmalte y la dentina. Esto puede resultar en dientes más pequeños y puntiagudos.

3. Condiciones congénitas
Algunas afecciones presentes desde el nacimiento, como la displasia ectodérmica, están relacionadas con los dientes en clavija. Estas condiciones afectan el desarrollo de estructuras como dientes, cabello y uñas, lo que puede llevar a dientes con formas inusuales.
4. Factores ambientales
En ciertos casos, factores externos pueden afectar el desarrollo dental. Por ejemplo:
● Exposición excesiva a sustancias como el flúor o medicamentos como la tetraciclina durante la infancia.
● Traumatismos o infecciones en la etapa de formación de los dientes.
● Deficiencias nutricionales, que pueden limitar el desarrollo adecuado de las piezas dentales.
Aunque las causas de los dientes en clavija pueden variar, comprenderlas es el primer paso para abordar esta condición. Ahora bien, además de sus orígenes, es fundamental conocer las consecuencias que pueden tener en la estética, funcionalidad y salud oral, para entender por qué es importante buscar una solución adecuada.
Consecuencias de los dientes en clavija

Aunque los dientes en clavija no siempre representan un problema médico urgente, su presencia puede tener varias consecuencias:
● Espacios entre los dientes: Los dientes en clavija pueden dejar huecos visibles, llamados diastemas, que afectan la alineación y facilitan la acumulación de restos de comida, aumentando el riesgo de caries y problemas en las encías. Si no se tratan, estos espacios pueden agrandarse con el tiempo.
● Desalineación de la mordida: La forma irregular de los dientes en clavija puede alterar la mordida, causando desgaste desigual en los dientes y molestias en la mandíbula al masticar, especialmente con alimentos duros.
● Dificultad para la higiene oral: La forma y el tamaño inusuales de los dientes en clavija pueden crear áreas de difícil acceso al cepillarse o usar hilo dental. Es como intentar limpiar esquinas pequeñas en un recipiente irregular: siempre queda algo acumulado. Esto puede favorecer la acumulación de placa y restos de comida, aumentando el riesgo de caries y enfermedades en las encías.
● Impacto estético: La asimetría de los dientes en clavija puede afectar la confianza y autoestima de las personas, llevándolas a sentirse incómodas al sonreír o hablar en público.
Estos impactos, aunque varían en intensidad según cada persona, resaltan la importancia de buscar una solución si los dientes en clavija generan incomodidad o problemas funcionales.
Tratamientos para mejorar los dientes en clavija

Existen diversos tratamientos diseñados para abordar tanto la estética como la funcionalidad de los dientes en clavija. La elección del tratamiento depende de la severidad del caso y de las necesidades del paciente. Aquí te explicamos las opciones más comunes:
1. Carillas dentales
Las carillas son láminas finas de porcelana o resina que se adhieren a la parte frontal del diente. Este tratamiento permite corregir la forma del diente, equilibrar su apariencia y mejorar la simetría de la sonrisa. Son ideales para quienes buscan un resultado natural y duradero.
2. Coronas dentales
Las coronas son una opción ideal cuando los dientes en clavija son muy pequeños o frágiles. Este tratamiento implica cubrir completamente el diente con una estructura personalizada, lo que proporciona mayor resistencia y una apariencia uniforme. Aunque requiere un ligero tallado del diente, es una solución efectiva y duradera.
3. Ortodoncia
La ortodoncia es uno de los tratamientos más efectivos para corregir problemas de alineación y mordida. En el caso de los dientes cónicos o en clavija, el objetivo principal es ajustar la posición de los dientes y crear el espacio necesario para obtener las dimensiones correctas del diente.
4. Extracción y reemplazo
En situaciones muy extremas, donde los dientes en clavija afectan gravemente la funcionalidad o la estética, se puede optar por la extracción. El diente extraído puede reemplazarse con implantes dentales o puentes para restaurar la apariencia y funcionalidad de la dentadura.
Cada tratamiento tiene sus ventajas y está diseñado para adaptarse a las necesidades de cada paciente. Un dentista podrá ayudarte a elegir la opción más adecuada para mejorar tu sonrisa y recuperar la confianza.
¿Cómo prevenir los dientes en clavija?

Aunque no siempre se puede prevenir esta condición, existen medidas que pueden ayudar a minimizar el riesgo y evitar complicaciones futuras:
● Cuidado prenatal: Un embarazo saludable es esencial para el correcto desarrollo de los dientes del bebé. Esto incluye una dieta equilibrada rica en nutrientes esenciales, como ácido fólico, y visitas regulares al médico para garantizar un desarrollo óptimo.
● Asesoramiento genético: Si hay antecedentes familiares de dientes en clavija, un asesoramiento genético puede ser útil para identificar riesgos y planificar posibles intervenciones tempranas. Esto permite anticiparse a la condición y abordar su manejo desde una etapa inicial.
● Visitas regulares al dentista desde la infancia: Llevar a los niños al dentista desde temprana edad permite detectar anomalías en el desarrollo dental de manera oportuna. El dentista puede monitorear el desarrollo de los dientes, identificar irregularidades y sugerir tratamientos preventivos antes de que surjan complicaciones.
● Rutina de higiene bucal adecuada: Mantener una buena higiene oral desde la niñez ayuda a prevenir problemas que puedan agravar las consecuencias de los dientes en clavija. Esto incluye cepillarse los dientes al menos dos veces al día, usar hilo dental y enjuague bucal para mantener las encías y dientes saludables.
● Dieta saludable: Consumir alimentos ricos en calcio, fósforo y vitaminas A, C y D favorece dientes fuertes y bien desarrollados. También es importante limitar el consumo de azúcar y alimentos ácidos para prevenir la caries, que podría complicar la condición de los dientes en clavija.
Aunque prevenir completamente los dientes en clavija no siempre es posible, estas medidas ayudan a reducir los riesgos y a mantener una sonrisa saludable. La clave está en el cuidado constante y en actuar de forma temprana para minimizar cualquier impacto negativo.
Conclusión
Los dientes en clavija pueden ser un desafío tanto estético como funcional. Aunque su origen suele estar vinculado a factores genéticos o de desarrollo, actualmente existen diversas soluciones que permiten recuperar la funcionalidad y mejorar la apariencia de la sonrisa. Consultar con un dentista es esencial para analizar cada caso de forma personalizada y elegir el tratamiento más adecuado.
Gracias a los constantes avances en odontología estética y funcional, cada vez es más posible ofrecer tratamientos que mejoren la calidad de vida de los pacientes y les permitan disfrutar de una sonrisa saludable y equilibrada.
Preguntas frecuentes
¿Por qué se producen los dientes en clavija?
Su origen puede deberse a factores genéticos, alteraciones durante el desarrollo dental o condiciones congénitas. También pueden influir factores ambientales, como traumas o deficiencias nutricionales durante la formación dental.
¿El tratamiento para los dientes en clavija es permanente?
La mayoría de los tratamientos, como carillas, coronas o implantes, ofrecen resultados duraderos, pero es importante seguir las recomendaciones de cuidado dental para mantenerlos en buen estado.
¿Es necesario extraer los dientes en clavija?
No siempre es necesario. La extracción solo se considera en casos extremos donde no sea posible restaurar la funcionalidad o estética del diente con otros tratamientos.
¿Los dientes en clavija pueden provocar dolor?
Por sí solos, los dientes en clavija no suelen causar dolor. Sin embargo, sí afectan la mordida o generan problemas en la mandíbula, puede haber molestias asociadas.
¿Los dientes en clavija afectan la salud general?
En la mayoría de los casos, no afectan directamente la salud general. Sin embargo, si provocan problemas de higiene o alineación, podrían derivar en complicaciones que sí impacten la salud bucal y, en consecuencia, la calidad de vida del paciente.
Share
Referencias
1. Ariyakriangkai, W., Vargas, M. & Kwon, S. (2017, 1 october). Management of Peg-Shaped Maxillary Lateral Incisors and Congenitally Missing Mandibular Lateral Incisors. Decisions in Dentistry. https://decisionsindentistry.com/article/management-peg-shaped-maxillary-lateral-incisors-congenitally-missing-mandibular-lateral-incisors/
2. Carmona, M. L. (2014, 22 agosto). Diente cónico: presentación de dos casos.
3. Dolan, S., Calvert, G., Crane, L., Savarrio, L., & Ashley, M. P. (2023, 13 october). Restorative dentistry clinical decision-making for hypodontia: peg and missing lateral incisor teeth. BDJ, 235(7), 471-476. https://doi.org/10.1038/s41415-023-6330-7
4. Martín, G. J., Sánchez, D. B., Tarilonte, D. M., Castellanos, C. L., Llamas, C. J., López, F. F & Segura, E. J. (2012). Anomalías y displasias dentarias de origen genético-hereditario. Universidad de Sevilla, Sevilla, España. Avances en Odontoestomatología, 2012;28(6). https://scielo.isciii.es/scielo.php?script=sci_arttext&pid=S0213-12852012000600004
5. Palacios, L. C., & Cárdenas, F. C. (2023, 28 diciembre). Prevalence of dental anomalies of size and shape, in pediatric patients aged 6 to 17 years of the city of huánuco 2019-2022. PubMed, 11(4), e171.
-
Dr. Yeidy Carolina Mesa [Author]
DDS Yeidy Carolina Mesa Passionate Dentist | Advocate for Accessible Oral Health Education Graduating from Universidad CES in 2022, I am a dedicated general dentist with a lifelong passion for helping others and making a meaningful impact in the world. My journey into dentistry began at the age of 7, inspired by my own experience with braces and overcoming a fear of the dentist. This personal journey shaped my mission to help patients conquer their own dental anxieties and embrace a healthier,...
Ver todas las entradasEntradas recientes
-
Nayibe Cubillos M. [Medical Reviewer]
Pharmaceutical Chemestry |Pharmaceutical Process Management | Pharmaceutical Care | Pharmaceutical Services Audit | Pharmaceutical Services Process Consulting | Content Project Manager | SEO Knowledge | Content Writer | Leadership | Scrum Master
Ver todas las entradas
A healthcare writer with a solid background in pharmaceutical chemistry and a thorough understanding of Colombian regulatory processes and comprehensive sector management, she has significant experience coordinating and leading multidisciplina...Entradas recientes



